Cerebellar Ataxia and Mesenteric Panniculitis-Possible Igg4-Related Disease, A Novel Presentation: OAJBS Publishers

Cerebellar Ataxia and Mesenteric Panniculitis-Possible Igg4-Related Disease, A Novel Presentation by Adel Ekladious in Open Access Journal of Biomedical Science (OAJBS)

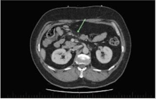
IgG4-related disease is a multi-system inflammatory disease that may affect most systems. Intracranial parenchymal disease is rare, reported only in case reports. Meeting diagnostic criteria typically requires biopsy, creating diagnostic and treatment uncertainty if biopsy not possible. We present a case of likely IgG4-related disease causing both mesenteric panniculitis and acute cerebellitis, a presentation not known to be previously documented.
https://biomedscis.com/fulltext/cerebellar-ataxia-and-mesenteric-panniculitis-possible-igg4-related-disease-a-novel-presentation.ID.000307.php

To Know More About Open Access Journal of Biomedical Science Please Visit: Biomedscis

Are Click on:  https://Biomedscis.Com/

Comments

Popular posts from this blog

Facile Synthesis of Chitosan Nanoparticle with Different Features and Histopathological Ultrastructural Study on The Effect of Its Bio-complex with Bovine Serum Albumin: OAJBS Publishers

Review on Analysis of Breast Tumor with Methods of Treatment: OAJBS Publishers

Carlos Gravato | Biomedscis Editor